2Likes
-
1
Post By o&itw
-
1
Post By Pony
 |

09/15/13, 09:14 PM
|
|
|
|
Join Date: Jan 2008
Location: The Beautiful Ozarks
Posts: 1,394
|
|
|
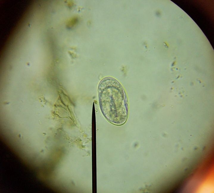
Fecal Tests (pic included)
I did a fecal test on one of our goats this afternoon and found eggs of what I THINK are intestinal round worms. I didn't take an actual count and not even sure how many is "too many" for a certain sized slide. But some areas were totally void of eggs, and some had two (at 10x10 power).
Each egg had a miniature worm in it, moving around. Creepy. At first I freaked out and thought it was liver flukes because I've seen microscopic pictures of them that looked like what I saw, but according to what I've read, doing a fecal like I did wouldn't bring up liver flukes in the sample. I made a salt solution, smooshed up poop, strained through cheesecloth, then let it sit for a half-hour then took the sample from the top with the slide.
Anyways, anybody else do home fecal tests on their goats and can you chime in on what type of egg this is?
Thanks!
Egg in question at 40x10 power
Funny Springy Thingy at 10x10 power (I think)
__________________
I predict future happiness for Americans if they can prevent the government from wasting the labors of the people under the pretense of taking care of them. - Thomas Jefferson
|

09/15/13, 10:49 PM
|
|
|
|
Join Date: Oct 2004
Location: NE Georgia
Posts: 453
|
|
|
The first slide is almost surely a threadworm egg. Not as serious a parasite as most, unless there is a very heavy infestation. More common in kids. Our kids had them often, but rarely had them as adults. They can enter through the skin between their hooves.
|

09/16/13, 12:59 PM
|
 |
Psalm 46:10
|
|
Join Date: Jan 2011
Location: West Virginia
Posts: 296
|
|
|
Top one could be threadworms or a ready to erupt Hookworm. Round worm eggs in all species are round when viewed under a microscope.
__________________
“Come to me, all you who are weary and burdened, and I will give you rest. Matthew 11:28
|

09/16/13, 01:59 PM
|
|
aka avdpas77
|
|
Join Date: Dec 2008
Location: central Missouri
Posts: 3,416
|
|
Quote:
Originally Posted by Sededl
Top one could be threadworms or a ready to erupt Hookworm. Round worm eggs in all species are round when viewed under a microscope.
|
I don't know about caprine hookworms, but human hookworms can't survive our winters and are usually only found in the south.
While researching the matter, I found an old article that has some neat pictures of various worm eggs: http://books.google.com/books?id=s8N...okworm&f=false
and another: http://www.apacapacas.com/parasites/
Finally a very nice article on how to prepare the fecal sample and the kinds of eggs that won't usually show up : http://www.pet-informed-veterinary-a...float-parasite
__________________
Moving to that big black hole in the night satellite photo. (also the hole in cell phone coverage )
|

09/16/13, 02:37 PM
|
|
aka avdpas77
|
|
Join Date: Dec 2008
Location: central Missouri
Posts: 3,416
|
|
barberpole worm egg: (OK state University)
Hookworm egg (OK State university)
Hmmmm... they look so similar as to be identical
I could see how a vet could get them confused
.
__________________
Moving to that big black hole in the night satellite photo. (also the hole in cell phone coverage )
|

09/16/13, 03:01 PM
|
 |
|
|
Join Date: Sep 2004
Location: SW Missouri
Posts: 4,015
|
|
|
to me the second pointer shows a bit of undigested roughage ....
Does not look like any worm or egg that I'm familiar with.
__________________
SuzyHomemaker
rtfmfarm.com
LaMancha & Nubian goats
|

09/16/13, 03:38 PM
|
|
|
|
Join Date: Jan 2003
Posts: 19,807
|
|
|
Second one is just debris.
First one looks like hooks to me. ETA: I meant possible whipworm egg, not hook.
Round worms are entirely different: large, ovular, dark spot in the middle, clearly defined shell. I'll see if I can dig up a pic.
__________________
Je ne suis pas Alice
http://homesteadingfamilies.proboards.com/
|

09/16/13, 03:40 PM
|
|
|
|
Join Date: Jan 2003
Posts: 19,807
|
|
|
Here's a good pic of a roundworm egg. You should be able to find this under the 10x lens.
__________________
Je ne suis pas Alice
http://homesteadingfamilies.proboards.com/
|

09/16/13, 03:58 PM
|
 |
|
|
Join Date: Jul 2013
Location: Mountain Home, Arkansas
Posts: 2,550
|
|
Quote:
Originally Posted by o&itw
barberpole worm egg: (OK state University)
Hookworm egg (OK State university)
Hmmmm... they look so similar as to be identical
I could see how a vet could get them confused
.
|
Those are identical pictures. Only one set is bigger than the other.
Or is it one side for Hook and one side for barberpole?
|

09/16/13, 07:05 PM
|
|
|
|
Join Date: Jan 2003
Posts: 19,807
|
|
|
They both look like hooks to me, but it's been many a year since I spent an afternoon at the 'scope, reading dog and cat fecals.
__________________
Je ne suis pas Alice
http://homesteadingfamilies.proboards.com/
|

09/16/13, 09:41 PM
|
 |
My name is not Alice
|
|
Join Date: Mar 2012
Location: On a dirt road in Missouri
Posts: 4,185
|
|
Quote:
Originally Posted by Pony
They both look like hooks to me, but it's been many a year since I spent an afternoon at the 'scope, reading dog and cat fecals.
|
And the cat just lays down and purrrrrrrs, proving again their supremacy over humans...
O&ITW, that book link cleared something up for me. We had a bonafied bout of barber pole worm this summer. I lost a couple of good goats in very short order before I even knew I had an issue. I thought pneumonia. A necropsy confirmed it to be barber pole. I did some fecals right after the the diagnosis to see what to look for next time. I could see the near fully-developed worm in the egg slithering around. It was awful looking. I did some googling and it made me think it was threadworm. But I am not a goat parasite-ologist, so I dismissed my layman's search as novice sleuthing. That book shows the stages of barberpole, and the latter stage looks just like what I saw. I dunno. Maybe what one person calls barberpole, another calls threadworm. Bring on the Latin?
__________________
Honesty and integrity are homesteading virtues.
|

09/16/13, 10:20 PM
|
|
aka avdpas77
|
|
Join Date: Dec 2008
Location: central Missouri
Posts: 3,416
|
|
Quote:
Originally Posted by Doug Hodges
Those are identical pictures. Only one set is bigger than the other.
Or is it one side for Hook and one side for barberpole?
|
According to the university, the top set of two pictures are Barberpole worm eggs, and the bottom set of two pictures are Hookworm eggs.
They are obviously the same set of pictures.
If you hit "quote" on my post you can see (and follow if you wish) the links to where each of the photos came from.
I am making a wild guess here that even if the eggs look exactly alike that a small animal vet would diagnose the eggs as hookworms for dogs or cats and extrapolate that to goats.
In any case,either the eggs are in fact very similar or OK State zoologists need to quit borrowing each others micrographs.
__________________
Moving to that big black hole in the night satellite photo. (also the hole in cell phone coverage )
|

09/17/13, 04:51 AM
|
|
HOW do they DO that?
|
|
Join Date: Oct 2012
Location: Southwest Michigan
Posts: 1,664
|
|
Quote:
Originally Posted by Pony
|
WOW these are great pics....with magnifications too!! Wonders if the cocci and worms are they same as would be found in goats and chickens??
__________________
Insatiably Curious
|

09/17/13, 05:48 AM
|
|
|
|
Join Date: Jan 2003
Posts: 19,807
|
|
Quote:
Originally Posted by aart
WOW these are great pics....with magnifications too!! Wonders if the cocci and worms are they same as would be found in goats and chickens??
|
In a word, "yup."
__________________
Je ne suis pas Alice
http://homesteadingfamilies.proboards.com/
|
Posting Rules
|
You may not post new threads
You may not post replies
You may not post attachments
You may not edit your posts
HTML code is Off
|
|
|
All times are GMT -5. The time now is 05:49 AM.
|
|